Dossiers

Quels effets sur la santé pour l’Amiante Environnemental ?

Partager cet article:

Tags:  Santé Sécurité Prévention SS4

Anatomie des poumons
Anatomie des poumons

Lorsque l’on pense à l’amiante et ses ravages sur la santé, on pense généralement à l’amiante dans les immeubles bâtis et dans les produits “industriels” qui les composent. Et pourtant c’est parfois notre environnement naturel, en particulier géologique : sol et sous-sol, qui contient de l’amiante. Les fibres naturelles d’amiante sont constituées de faisceaux de fibrilles qui se séparent très facilement sous des actions mécaniques pour former un nuage de poussières très fines. Hormis les anciennes exploitations d’amiante, comme l’ancienne mine de Canari (en Haute-Corse, fermée en 1965), ces nuages de poussières peuvent être créés dans de nombreux autres contextes professionnels et privés :

  • Terrassement ;
  • Création d’une extension de maison privée ;
  • Forage géotechnique, d’eau ou géothermique ;
  • Installation des réseaux (énergies, voiries et réseaux divers VRD) ;
  • Réalisation de réseau routier ;
  • Exploitation de carrière.

Les exemples sont nombreux, puisque toute opération de manipulation des sols et sous-sols est concernée.

Bien que d’origine naturelle, les risques sanitaires encourus ne sont pas moindres.

Les éléments suivants sont largement décrits dans la thèse de 2010 de l’épidémiologiste Francine Baumann.

Le chrysotile, un minéral dangereux pour la santé
Fibres d'amiante naturel (Chrysotile)

Physiopathologie

L’amiante entre dans le corps humain par inhalation. Le caractère pathogène d’une fibre d’asbeste serait associé à ses dimensions et sa bio-persistance :

  • plus la fibre est petite, plus elle peut pénétrer profondément dans l’appareil respiratoire ;
  • plus elle est longue et fine, plus l’organisme a des difficultés à l’éliminer.

Les fibres retenues dans les poumons peuvent provoquer une inflammation du poumon et/ou du tissu qui l’enveloppe : la plèvre. Ces manifestations sont très progressives et ne se détectent pas facilement à un stade précoce.

Lorsque la quantité de fibres retenues est importante, une fibrose du poumon, l’asbestose, peut apparaître après plusieurs années. Les fibres peuvent également altérer les divisions cellulaires au niveau des cellules épithéliales des bronches et, après un temps de latence d’environ 20 années (entre le début de l’exposition et l’apparition de la maladie), un cancer broncho-pulmonaire peut se développer.

Les fibres peuvent migrer vers l’extérieur de la cavité pleurale pour atteindre son enveloppe externe : la plèvre pariétale. A ce niveau, un cancer très agressif (le mésothéliome) ou plusieurs pathologies bénignes peuvent se manifester :

  • une pleurésie bénigne (épanchement de liquide) ;
  • une fibrose pleurale diffuse ;
  • des zones de fibroses localisées (les plaques pleurales) ;
  • une atélectasie par enroulement (masse bénigne se développant au contact d’un épaississement de la plèvre).

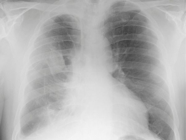
Les plaques pleurales

Considérées comme un “marqueur d’exposition” à l’amiante, les plaques pleurales peuvent entraîner des douleurs, voire une légère diminution de la capacité respiratoire. Elles ne présagent pas du risque de cancer de la plèvre.

Les plaques pleurales
Radiographie pulmonaire montrant des plaques pleurales

L’asbestose

L’asbestose est une fibrose du tissu pulmonaire qui peut survenir après une exposition à des taux importants de poussière contaminée à l’amiante. Elle n’est donc observée que dans le cas d’exposition professionnelle importante. Le temps de latence est généralement compris entre 10 et 20 ans ; il est d’autant plus court que l’exposition à l’amiante a été élevée. Il n’y a pas de traitement médical efficace de l’asbestose à ce jour, et son évolution est variable : l’asbestose reste stable dans plus de la moitié des cas, mais elle peut progresser vers une insuffisance respiratoire. L’asbestose s’accompagne d’un risque accru de cancer broncho-pulmonaire.

Le cancer broncho-pulmonaire

Le cancer broncho-pulmonaire est le cancer le plus fréquent dans la population masculine mondiale, il représente 10 % des décès masculins dans les pays industrialisés. Il est lié à différents facteurs, principalement le tabac qui serait responsable de 80 % des cas. L’inhalation de fibres d’amiante est également responsable de cancers broncho-pulmonaires, avec un ratio cancers pulmonaires / mésothéliomes de l’ordre de 3,5. L’exposition aux fibres d‘amiante multiplie le risque de cancer pulmonaire par 5, alors que ce facteur est de 10 pour l’exposition au tabac. Les effets du tabac et de l’amiante sont indépendants l’un de l’autre c’est à dire que donc le risque est multiplié par 50 en cas de double exposition: tabac + amiante.

Le cancer broncho-pulmonaire
Cancer Broncho-pulmonaire (vue illustrative)

Le mésothéliome

Le mésothéliome malin pleural est un cancer primitif de la plèvre de très mauvais pronostic avec une survie médiane de l’ordre de l’année. Aucun traitement n’a encore fait preuve d’efficacité à ce jour. Certains mésothéliomes, plus rares, apparaissent au niveau d’autres enveloppes que la plèvre : le péritoine, le péricarde et un tissu testiculaire.

Le mésothéliome est la signature classique d’une exposition à l’amiante. Contrairement au cancer broncho-pulmonaire, il n’y a pas d’association causale entre le mésothéliome malin et le tabac. Des cas de mésothéliome ont aussi été décrits après une exposition aux fibres d’érionite (zéolite fibreuse), en particulier en Turquie ou aux fibres de silice comme en Inde et en Louisiane chez des travailleurs de la canne à sucre. D’autres facteurs de risque ont été suspectés (rayonnements, virus) mais sont controversés.

Le risque de mésothéliome augmente avec le temps à partir du début de l’exposition aux fibres, avec la durée de l’exposition et avec l’exposition cumulée. Il n’y a pas de seuil minimal d’exposition, celle-ci peut avoir été de faible niveau. La maladie apparait 20 à 50 ans avant la date du diagnostic, avec un temps de latence médian de 30 années.

Le mésothéliome pleural est une tumeur très rare, dont l’incidence mondiale est d’environ 1 à 2 cas par million d’habitants par an dans la population générale. Des estimations récentes pour la France font état d’une incidence annuelle de 1,8 à 2,3 pour 100 000 hommes, et de 0,5 à 0,68 pour 100 000 femmes. Ce cancer est habituellement d’origine professionnelle, en particulier chez les travailleurs à la construction de bateaux ou les plombiers, entrainant des taux d’incidence cinq fois plus élevés chez les hommes que chez les femmes. Cependant le risque de contamination domestique a été démontré pour les familles de travailleurs exposés à l’amiante. L’exposition féminine est ainsi plus souvent para professionnelle (brossage et nettoyage des vêtements contaminés du conjoint) ou domestique (utilisation d’outils ménagers contenant de l’amiante).

Des cas d’origine environnementale ont été décrits chez des sujets vivant à proximité de sites miniers ou d’usines d’amiante. Des foyers de mésothéliomes environnementaux ont également été signalés chez les habitants de villages bâtis sur des affleurements naturels amiantifères. La Corse par exemple compte sur son territoire de nombreux affleurements de serpentinite, roche pouvant contenir de l’amiante sous la forme de chrysotile ou de trémolite. Soumises à l’érosion après la destruction du couvert végétal, ou aux activités humaines (travaux publics, circulation sur des pistes non goudronnées), elles sont susceptibles d’émettre des fibres d’amiante dans l’air. Plusieurs études épidémiologiques ont montré qu’il existait un risque d’exposition environnementale à l’amiante pour les personnes résidant dans des régions où affleurent les gisements de serpentinite.

En 1997, le BRGM a été chargé d’établir une cartographie des roches potentiellement amiantifères en Corse. De 2001 à 2003, la DDASS de Haute-Corse a procédé à une évaluation du risque sanitaire en menant des campagnes de mesures de la teneur de l’air en fibres d’amiante, à l’intérieur et à l’extérieur de l’habitat. Le risque de décès attribuable au mésothéliome environnemental a été estimé pour le village le plus exposé à 22 pour 10 000 hommes et 36 pour 10 000 femmes. En conclusion de cette étude, des recommandations ont été proposées, concernant la protection des travailleurs intervenant en terrains amiantifères ainsi que celle de la population exposée passivement : informer la population, interdire la circulation sur les lieux à risque, recouvrir les affleurements accessibles au public, limiter la constructibilité en zone d’affleurement de serpentinite, faire prendre des mesures de protection du personnel et de restauration de l’environnement au cours des travaux non évitables…

Des cas similaires d’exposition environnementale à l’amiante ont été notés en Finlande, en Autriche, en Bulgarie, à Chypre, en Grèce, en Turquie, en Afghanistan, en Australie, en Chine,… Une étude californienne a démontré l’augmentation du risque de mésothéliome avec la proximité résidentielle à une source d’occurrence naturelle d’amiante.

En France, un Programme National de Surveillance du Mésothéliome (PNSM) a été initié en 1998 par l’Institut de veille sanitaire. Son objectif est de fournir des informations fiables aux autorités sanitaires. Une estimation de l’incidence nationale du mésothéliome est réalisée après confirmation des cas par une expertise anatomo-pathologique et une expertise clinique. Une étude cas-témoins analyse le risque attribuable à différents facteurs étiologiques professionnels et extra-professionnels.

Autres cancers

Certaines études épidémiologiques récentes mentionnent la possibilité de cancers gastro-intestinaux et de cancers laryngés en relation avec l’exposition à l’amiante.

La prévention du risque Amiante Environnemental

L’année 2021 est une année charnière concernant la prise en compte du risque Amiante Environnemental. En effet, le décret 2017-899 du 9 mai 2017 prévoit l’obligation de rechercher la présence d’amiante préalablement à tous travaux, via un repérage par des opérateurs qualifiés et indépendants avec une méthodologie précise. L’objectif est bien entendu de protéger les travailleurs et riverains d’une exposition à de l’amiante potentiellement très dangereuse pour leur santé.

Les détails de l’application de ce décret sur les roches en place (s’appliquant à l’ensemble des terrassements, des extensions de maisons, des routes et des VRD) étaient attendus pour octobre 2020 par un arrêté du ministère du Travail qui doit se baser sur la norme NF P094-001 dont la publication était, elle aussi, attendue le 17/9/20.

Bien que ce décret d’application ait finalement pris du retard, l’obligation de repérage amiante avant travaux sur les sols et roches en place est effective depuis octobre 2020.

L’arrêté devrait préciser que tout terrassement devra dans le futur avoir fait l’objet d’une étude (dite A0 a minima, voire A1 ou A2 suivant le contexte géologique) de repérage de l’Amiante Environnemental. C’est pourquoi certaines collectivités ou entreprises font d’ores-et-déjà réaliser ces repérages selon la norme, telle qu’elle est connue actuellement, afin de démontrer, si besoin, la prise en compte précoce de la problématique, et également afin d’éviter d’éventuels délais et pertes de temps.

De notre côté, nous bénéficions au sein de Bureau GDA des compétences géologiques, acquises notamment en collaboration directe avec le BRGM, sur ces sujets ainsi que d’une solide expérience nous permettant de réaliser en toute rigueur les études de repérage telles que demandées par la norme.

N’hésitez pas à nous contacter.

Bibliographie

BAUMANN, Francine. Le mésothéliome malin pleural en Nouvelle-Calédonie: analyse spatiale et déterminants environnementaux-facteurs de risque d’exposition à l’amiante naturel. 2010. Thèse de doctorat. Université de la Nouvelle-Calédonie.

Nous contacter

Partager cet article: